X線TVシステムSONIALVISION G4 LX edition- SR -
特長
さまざまな検査を快適に
SID 1.8m引き延ばし機能付きタイプ 整形外科領域&一般撮影対応
映像系を引き伸ばしての簡易な胸部撮影が可能です。(オプション)

広い撮影範囲 整形外科領域&一般撮影対応
ワイドストロークで患者を動かさずに全身をカバーできます。

X線管球を90°回転可能 整形外科領域&一般撮影対応
ストレッチャーのままで撮影ができます。

撮影範囲を天板端限界まで拡張 泌尿器検査
天板の頭側において視野端を天板端から9.5㎝まで近づけることが可能(17インチ視野時)、17インチの大視野とあわせて泌尿器検査が容易に行えます。
観察位置を変えず天板をチルト可能 泌尿器検査
任意の位置を基準にした天板傾斜動が可能です。
天板を傾けても関心領域の高さを変えずに検査が行えます。

泌尿器検査用アクセサリーも充実 泌尿器検査
映像系や天板操作が可能な泌尿器用フットスイッチや、支脚器、ドレインパン、内視鏡支持器などのアクセサリーが充実しています。(全てオプション)

専用コリメーション機能が被ばくを低減 泌尿器検査

フレキシブルなレイアウトが可能なシステムデザイン 内視鏡検査 / 血管造影検査
透視台背面の昇降ユニットはコンパクトに設計されています。
モニタ懸垂装置を組み合わせたときに、より自由度の高いレイアウトが可能です。

シームレスフラット天板採用 内視鏡検査 / 血管造影検査
耐荷重に優れたワイドなシームレスフラット天板を採用、造影剤などの拭き取りが容易で常に清潔にご使用いただけます。
画像の上下反転に合わせ映像形移動の方向を反転 内視鏡検査 / 血管造影検査
大視野での血管造影検査に対応可能 内視鏡検査 / 血管造影検査
腹部や下肢領域の検査を行えます。
車イスのまま嚥下造影検査が可能 消化管造影検査&嚥下造影(VF)検査
映像系を引き伸ばすことで、車イスのまま容易に嚥下造影検査が行えます。

乗り降りしやすいらくらくポジション 消化管造影検査&嚥下造影(VF)検査
天板が低い位置まで降下して、ご高齢の方の乗り降りを容易にします。

大視野17×17インチFPD搭載 消化管造影検査&嚥下造影(VF)検査
17×17インチ大視野FPDにより、注腸検査などにも対応できます。
また、斜入機能により臓器の重なりを避けて検査が行えます。

用途を広げる多彩なアプリケーションをご用意
高精度な長尺撮影に対応 スロットアドバンス
X線をスリット上に絞り、映像系を平行移動させながら画像を収集し、得られた画像を自動的につなぎ合わせて1枚の長尺画像を再構成するスロットアドバンス※に対応しています。
※スロットアドバンスはSONIALVISION G4のオプション・スロットスキャンの呼称です。

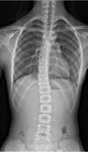
トモシンセシスを搭載可能
1回の撮影で任意の断層面を提供するトモシンセシスを搭載可能です(オプション)。
重なりを避けた高精細画像で微細な骨折線や骨梁などを明瞭に観察いただけます。
また、立位や逆傾斜位など関心部位に重力負荷をかけた状態で観察できるため、検査の応用範囲が広がります。

国内初※の骨密度測定アプリケーション搭載
骨密度測定アプリケーションSmartBMD(オプション)を搭載しました。
腰椎および(または)大腿骨近位部をスキャンすることで簡単にDXA法による骨密度測定が行えます。
※ 日本国内における据置型デジタル式汎用X線透視診断装置において

FPD画角内視野移動機能を搭載
FPD画角内視野移動機能Smart FOVを搭載しております。
天板を移動させることなく、安全に視野の移動を行うことが可能です。

高画質をリアルタイムに
低線量×高画質 デジタル画像処理 SCORE PRO Advance
様々な検査でシャープかつクリアな画像をご提供。特に透視では、背景のノイズ成分をリアルタイムに低減しながら、観察部位を効率よく強調します。これにより、被ばく低減と見やすいシャープな画像の両立を可能にしました。

最大17×17インチの大視野
注腸や腹部全域などが同一画像内で観察できます。また観察部位にあわせて、5 視野の切り替えが可能です。
高精細透視モードが選択可能
1×1 ピクセル出力による高精細透視モードが選択可能です。(6 インチ視野時)透視下での針先、ステントや手の骨などの観察に有用です。
デバイスの視認性を高める透視テクニック DeEP
透視において椎体や造影剤との重なり部分でもガイドワイやステント等のデバイスを強調して明瞭に描出します。

被ばく低減への配慮
検査に応じた効率よい被ばく低減
標準装備された、パルス透視と検査に合わせて自動選択される3種類のBHフィルタが、それぞれの検査に合わせて効率よく被ばくを低減します。

左右非対称にコリメーション可能
コリメーションを左右非対称で行うことができます。観察部位に合わせて余計な部分へのX 線の照射を防げます。(オプション)
バーチャルコリメーション機能
透視のラストイメージ画像より撮影時のコリメーションを設定できるバーチャルコリメーション機能を搭載し、無駄なばく射を減らすことができます。
さかのぼり透視記録が可能
透視画像をHDD にDICOM 形式で最大1000 画像保管できます。さらに記録操作を行った時点より、さかのぼり画像記録も可能なため一瞬のタイミングも逃さず容易に記録できます。
線量をリアルタイムに表示
計算線量をモニタ上にリアルタイムに表示します。検査中の被ばくの目安として頂くとともに線量値を検査情報としてネットワーク上で管理できます。
* 面積線量計(オプション)の搭載も可能です。

グリッドを取り外し可能
グリッドを外すことで、被ばくをさらに低減することができます。
小児科や婦人科など被ばくをさらにおさえたい検査に有用です。
検査をより快適にサポート
スマートなコンソールデザイン
ストレスなく検査を進めていただけるコンソールデザインが、オペレーションをより快適にサポートします。 デジタル装置は、遠隔卓下にコンパクトに収納 されています。

スピーディーな検査を実現する画像処理技術
デュアルシステムによる完全並列処理が、検査中の画像処理や患者登録プリントや画像転送などの同時処理を可能にしました。また透視台、X 線制御部、デジタル画像処理部が常に連動することで、検査中の操作手順を極力低減し、簡単に検査を進められます。
必要操作をタッチパネルに集約
検査に必要な操作を中央のタッチパネルに集約しました。少ない操作で検査を迅速に進められます。また、検査、施設ごとによく使用するキーを登録し、検査をスムーズに進められる「キーカスタマイズ」機能を採用しています。
設置レイアウトを3Dでシミュレーション
機器を設置する場合のレイアウトや動作シュミレーションが行える3Dシミュレーションツール「おためしレイアウト」をご用意しています。医療従事者様向け会員制サイトSHIMADZU MEMBERS CLUB(登録無料)にご登録いただくだけで簡単に始めていただけます。お気軽におためし下さい。
- SONIALVISION は株式会社島津製作所の商標です。
| 製造販売認証番号 | |
|---|---|
| 224ABBZX00052000 | 据置型デジタル式汎用X線透視診断装置 [X線テレビシステム SONIALVISION G4] 据置型デジタル式汎用X線診断装置 ※ X線平面検出器出力読取式デジタルラジオグラフ ※ 二重エネルギー骨X線吸収測定装置 ※ |
- 特定保守管理医療機器
※本医療機器は複数の一般的名称に該当します。





